Clinic Information・Access
Greetings
Staff
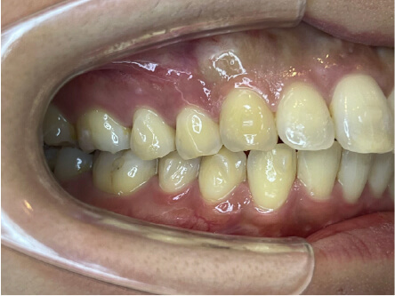
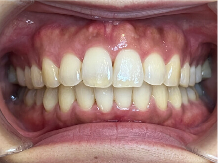
Orthodontics
About
Q&A
Recruit
Blog
はる歯科ポリシー
MATERNITY / -1〜0歳
BABY / 〜2歳
INFANT / 3〜4歳
KIDS / 5〜9歳
TEEN / 10歳〜
ADULT / 20歳〜
歯並び矯正
年齢別虫歯治療
セラミック治療
歯周病治療
歯のクリーニング
矯正治療について
こどもの矯正
myosmile
セカンドオピニオン
歯列矯正の症例
矯正治療の考え方
大人の矯正
インビザライン
歯並び矯正Q&A
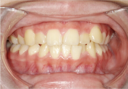
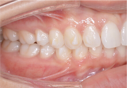
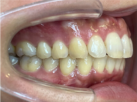
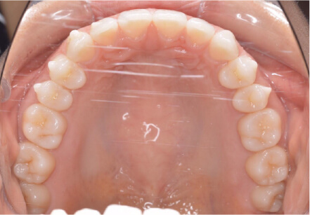
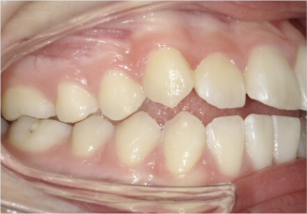
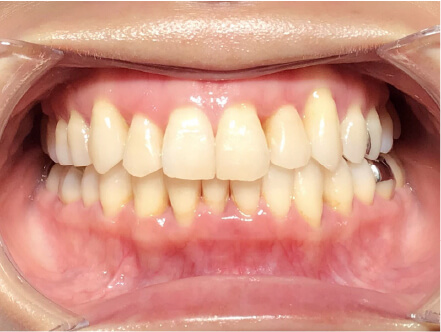
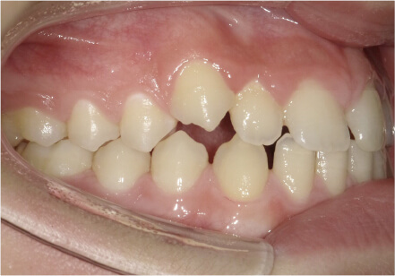
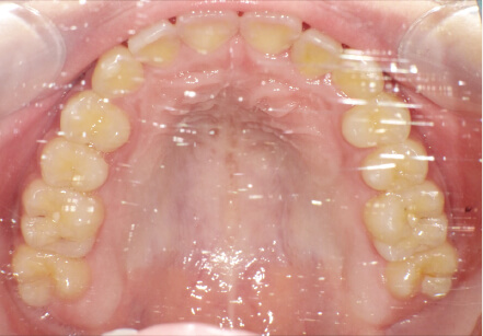
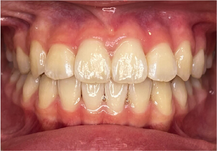
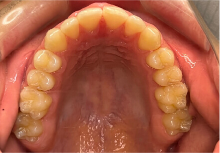
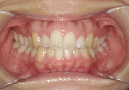
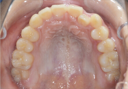
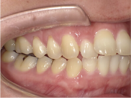
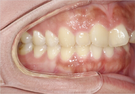
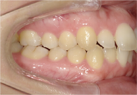
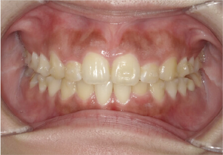
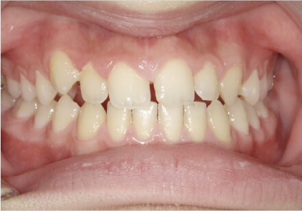
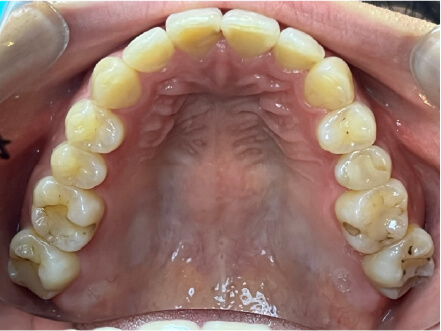
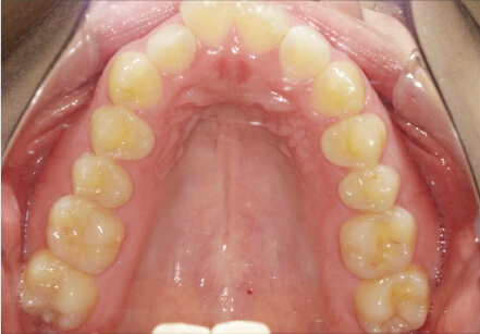
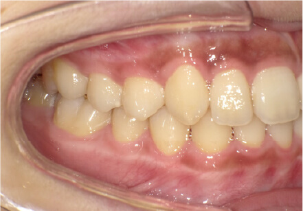
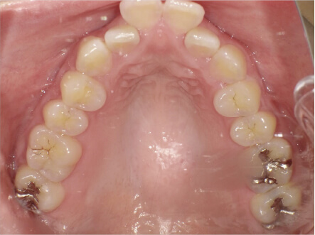
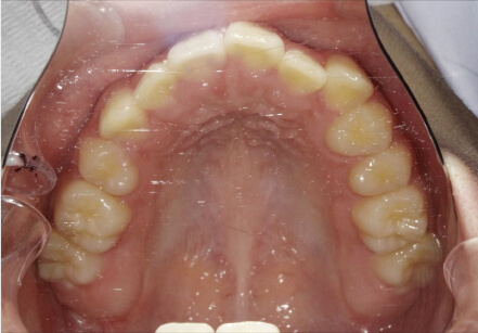
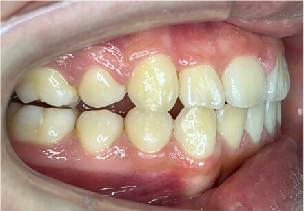
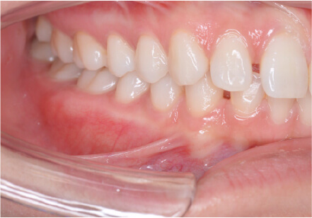
前歯前突の症例
8歳
/
男性
相談内容
前歯が気になる
カウンセリング・診断結果
前突・叢生 アレルギー有
治療内容・方法
全額アライナー矯正 上下拡大装置使用
術後の経過・現在の様子
上下リンガルアーチ使用
治療のリスク
痛み・歯根吸収・歯肉退縮・虫歯・後戻り
費用・治療期間
780,000円、1年8ヶ月
トレーニングなど
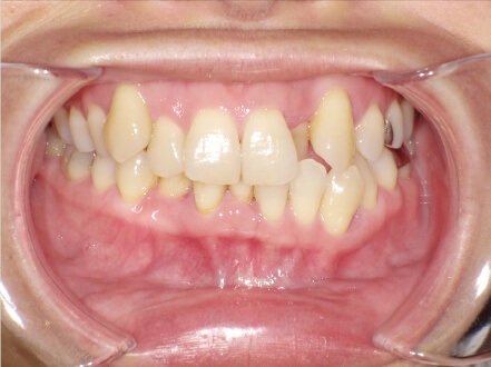
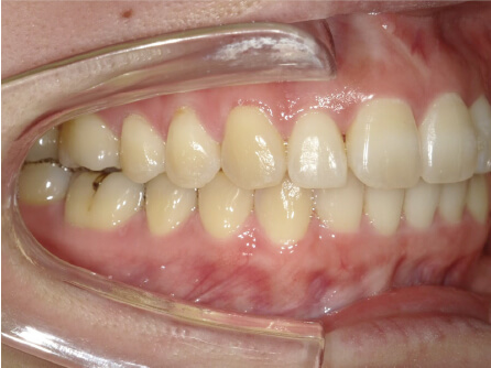
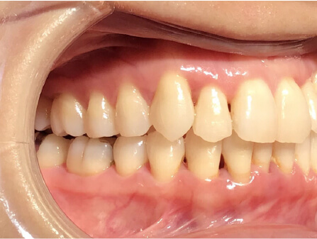
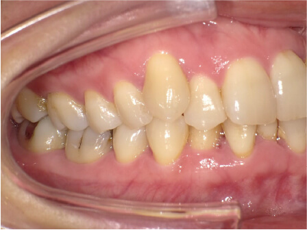
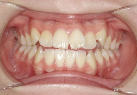
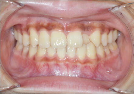
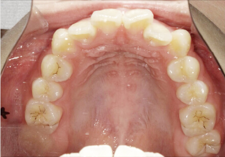
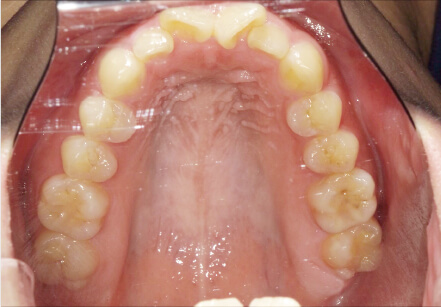
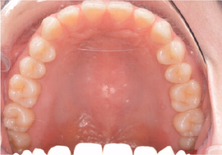
叢生の症例
21歳
/
女性
相談内容
上下の歯が出っ張っている
カウンセリング・診断結果
抜歯承諾、IPR承諾、アタッチメント承諾、アレルギー無・叢生(凸凹)、前歯
治療内容・方法
全顎アライナー矯正
術後の経過・現在の様子
クリアライナー
治療のリスク
痛み・歯根吸収・歯肉退縮・虫歯・後戻り
費用・治療期間
880,000円、2年
トレーニングなど
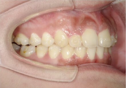
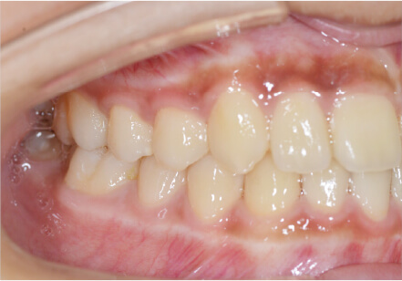
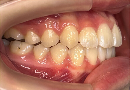
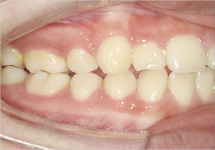
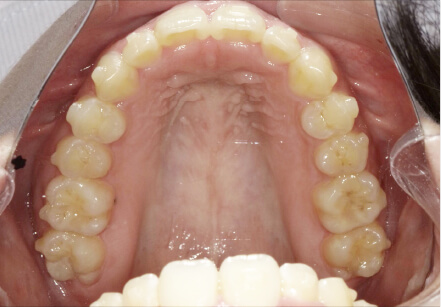
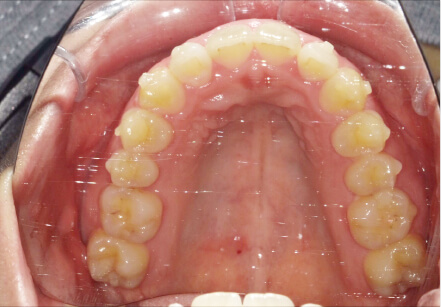
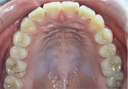
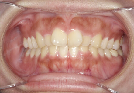
叢生の症例
28歳
/
女性
相談内容
カウンセリング・診断結果
IPR承諾、アレルギー無
治療内容・方法
全顎アライナー矯正
術後の経過・現在の様子
クリアライナー使用
治療のリスク
痛み・歯根吸収・歯肉退縮・虫歯・後戻り
費用・治療期間
990,000円、3年
トレーニングなど
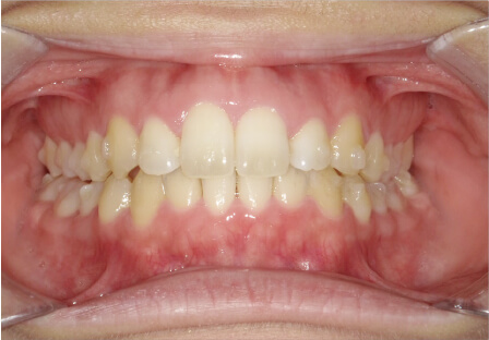
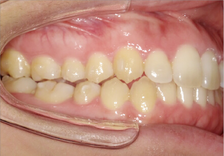
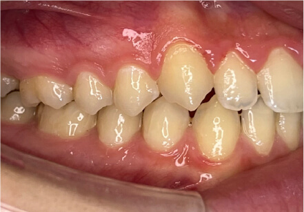
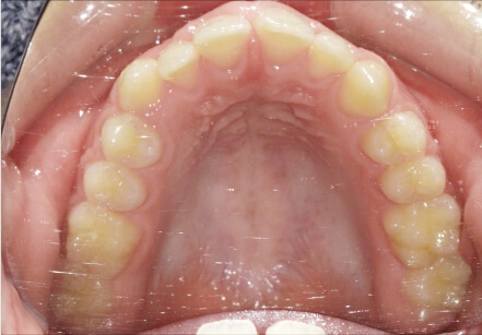
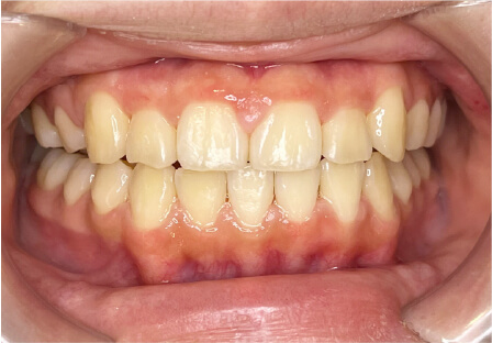
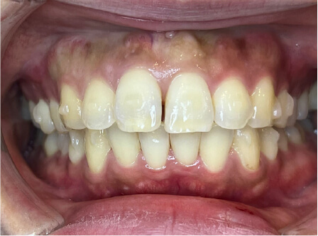
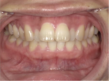
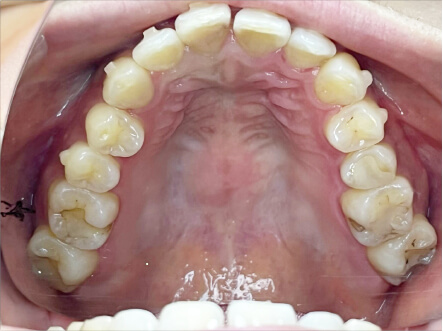
叢生の症例
19歳
/
女性
相談内容
上の前歯が出っ歯、下の前歯がガタガタ
カウンセリング・診断結果
抜歯承諾、IPR承諾、アタッチメント承諾、ミニインプラント承諾、アレルギー有・叢生(凸凹)
治療内容・方法
全顎アライナー矯正 抜歯予定だったが抜歯リスク高いため抜歯なしでIPR量を増やす
術後の経過・現在の様子
クリアライナー
治療のリスク
痛み・歯根吸収・歯肉退縮・虫歯・後戻り
費用・治療期間
880,000円、1年5ヶ月
トレーニングなど
空隙歯列の症例
8歳
/
男性
相談内容
歯のすき間が空いている
カウンセリング・診断結果
myoからの移行、スペース不足、耳鼻咽喉科紹介
治療内容・方法
全顎アライナー矯正
術後の経過・現在の様子
上下リンガルアーチ使用
治療のリスク
痛み・歯根吸収・歯肉退縮・虫歯・後戻り
費用・治療期間
209,000円(インビザのみ)、1年8ヶ月+myo1年
トレーニングなど
叢生の症例
41歳
/
女性
相談内容
正中がズレている。傾いている歯がある。
カウンセリング・診断結果
叢生・アレルギーなし・ext、IPR、アタッチメント、ミニスクリュー、ゴム掛け承諾
治療内容・方法
全額アライナー矯正・左下7セラミックはそのまま進めていく
術後の経過・現在の様子
クリアライナー使用
治療のリスク
痛み・歯根吸収・歯肉退縮・虫歯・後戻り
費用・治療期間
880,000円、1年9ヶ月
トレーニングなど
叢生の症例
11歳
/
女性
相談内容
歯が重なっている。
カウンセリング・診断結果
臼歯部のOpen改善、インビザライン
治療内容・方法
全額アライナー矯正
術後の経過・現在の様子
クリアライナー使用
治療のリスク
痛み・歯根吸収・歯肉退縮・虫歯・後戻り
費用・治療期間
マイオ 275,000円(月々22,000円)+インビザ移行料金220,000円(月々27,500円)、2年6ヶ月+myo1年
トレーニングなど
空隙歯列の症例
21歳
/
女性
相談内容
上の前歯の隙間が気になる。
カウンセリング・診断結果
上33の空隙を埋める、治療後咬調必要、クリアコレクト
治療内容・方法
上顎のみアライナー矯正
術後の経過・現在の様子
上3〜3fix使用
治療のリスク
痛み・歯根吸収・歯肉退縮・虫歯・後戻り
費用・治療期間
507,000円、5ヶ月
トレーニングなど
叢生の症例
41歳
/
女性
相談内容
横から見た時のガタガタが気になる
カウンセリング・診断結果
インビザライン、正中は上11に合わせていく、抜歯・拡大装置・IPR・アタッチメントOK
治療内容・方法
アライナー矯正
術後の経過・現在の様子
クリアライナー使用
治療のリスク
痛み・歯根吸収・歯肉退縮・虫歯・後戻り
費用・治療期間
880,000円、7ヶ月
トレーニングなど
叢生の症例
17歳
/
女性
相談内容
カウンセリング・診断結果
治療内容・方法
全額アライナー矯正
術後の経過・現在の様子
クリアライナー使用
治療のリスク
痛み・歯根吸収・歯肉退縮・虫歯・後戻り
費用・治療期間
715,000円、2年10ヶ月
トレーニングなど
はる小児歯科・
矯正歯科クリニック
はる歯科クリニック
キッズ専門
HARU’s KITCHEN
はる歯科クリニック
リクルート専用