Clinic Information・Access
Greetings
Staff
Orthodontics
About
Q&A
Recruit
Blog
はる歯科ポリシー
MATERNITY / -1〜0歳
BABY / 〜2歳
INFANT / 3〜4歳
KIDS / 5〜9歳
TEEN / 10歳〜
ADULT / 20歳〜
歯並び矯正
年齢別虫歯治療
セラミック治療
歯周病治療
歯のクリーニング
矯正治療について
こどもの矯正
myosmile
セカンドオピニオン
歯列矯正の症例
矯正治療の考え方
大人の矯正
インビザライン
歯並び矯正Q&A
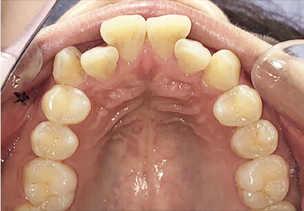
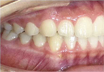
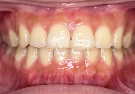
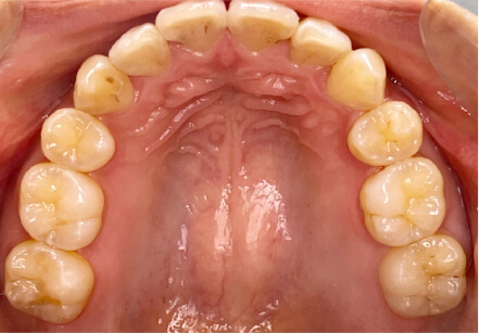
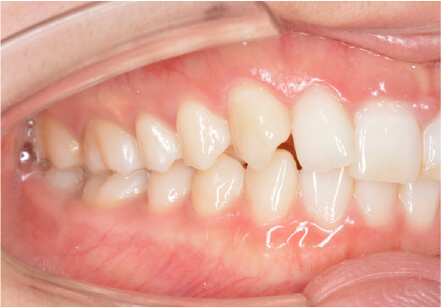
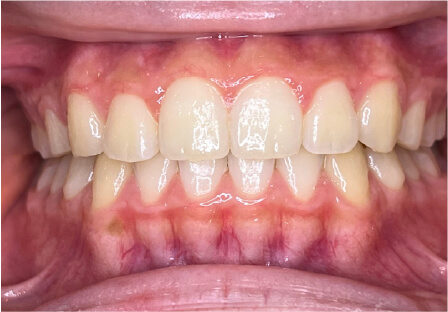
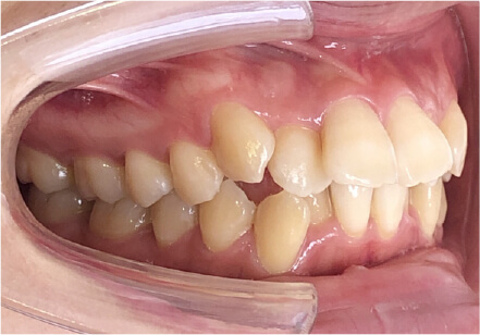
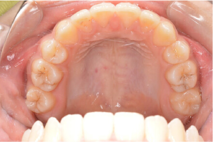
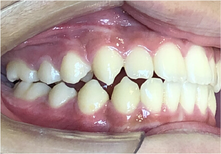
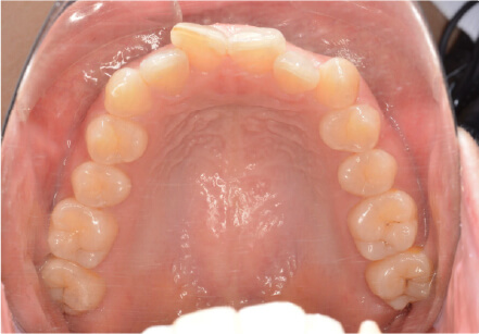
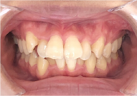
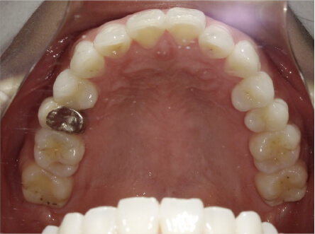
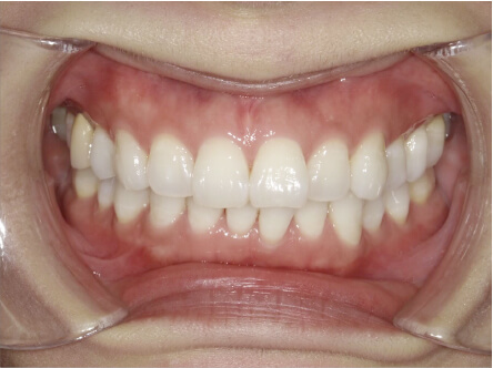
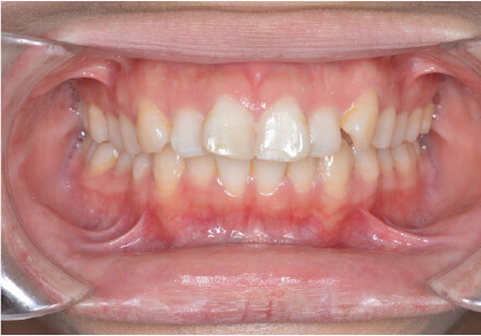
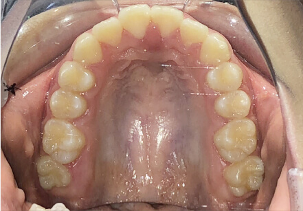
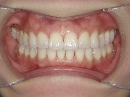
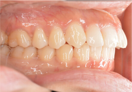
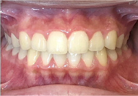
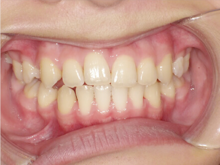
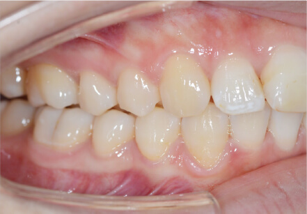
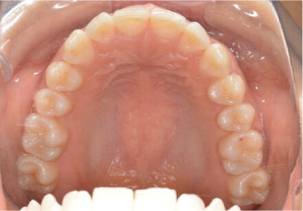
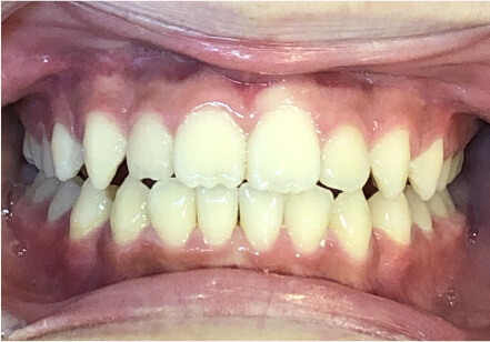
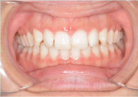
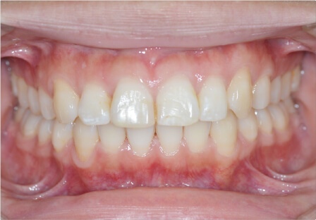
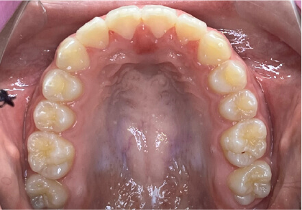
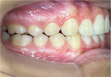
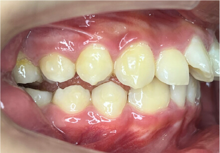
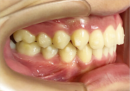
叢生の症例
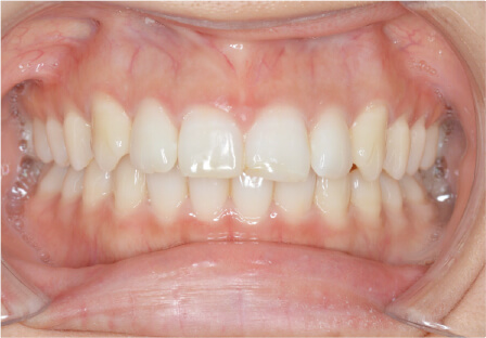
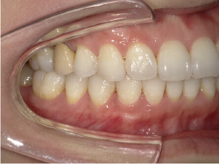
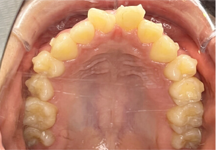
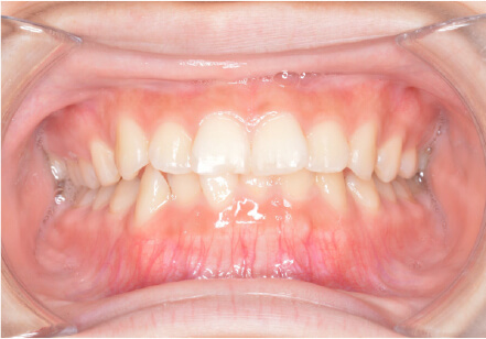
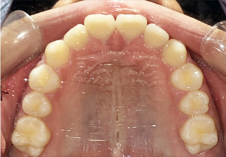
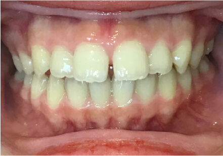
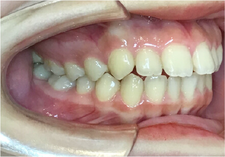
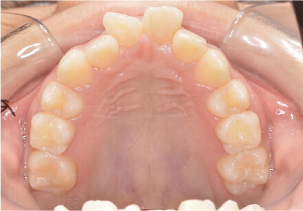
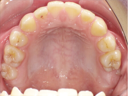
11歳
/
女性
相談内容
上の前歯の歯並びが気になる(マイオスマイルからの移行)
カウンセリング・診断結果
インビザライン、拡大入れながらスペースを作成、下Eは出てきたら削りながら進める
治療内容・方法
全額アライナー矯正 クリアコレクト
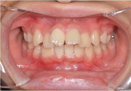
術後の経過・現在の様子
クリアライナー使用
治療のリスク
痛み・歯根吸収・歯肉退縮・虫歯・後戻り
費用・治療期間
移行料金220,000円、月々16,500円、1年1ヶ月+myo2年3ヶ月
トレーニングなど
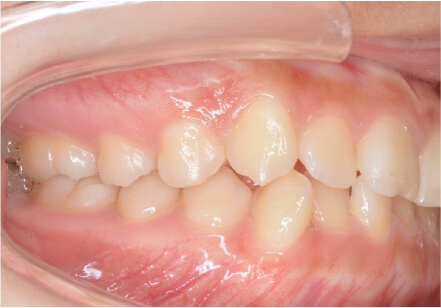
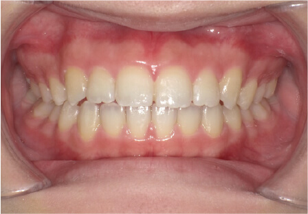
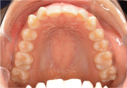
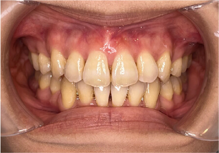
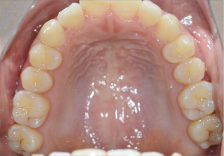
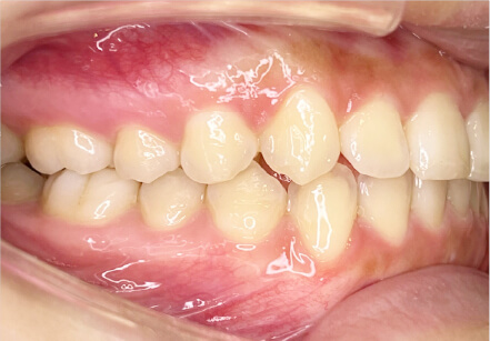
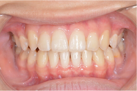
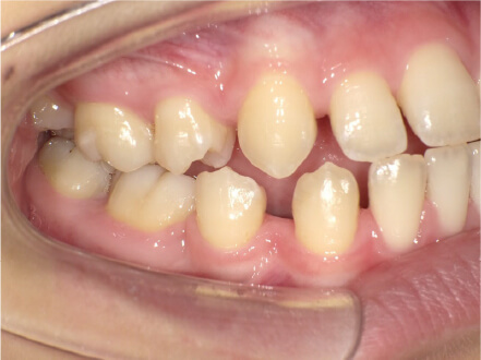
叢生の症例
9歳
/
女性
相談内容
マイオスマイルからの移行
カウンセリング・診断結果
上11捻転、上33スペース不足、インビザで歯列矯正
治療内容・方法
全額アライナー矯正 クリアコレクト
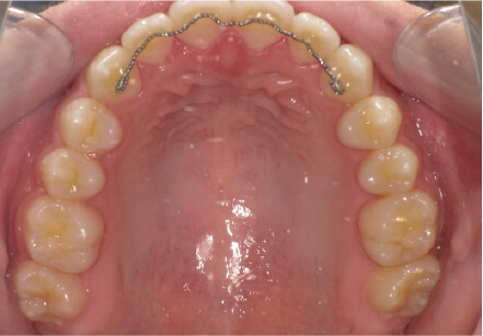
術後の経過・現在の様子
リンガルアーチ使用
治療のリスク
痛み・歯根吸収・歯肉退縮・虫歯・後戻り
費用・治療期間
(マウスピース矯正のみ)440,000円+220,000円 月々27,500円、9ヶ月+myo1年10ヶ
トレーニングなど
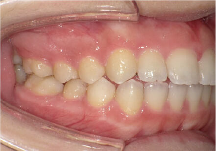
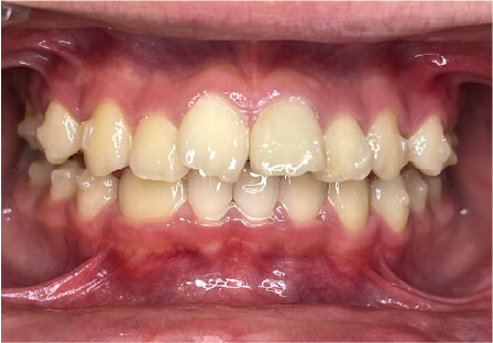
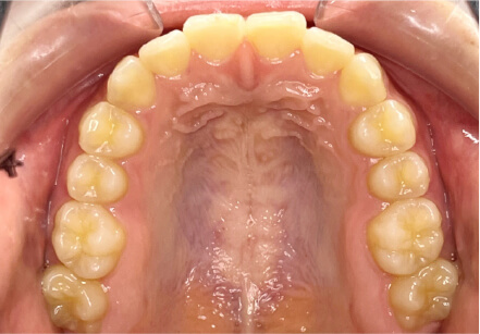
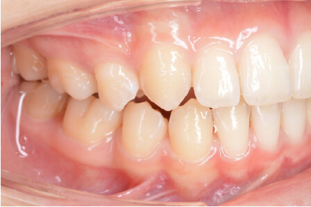
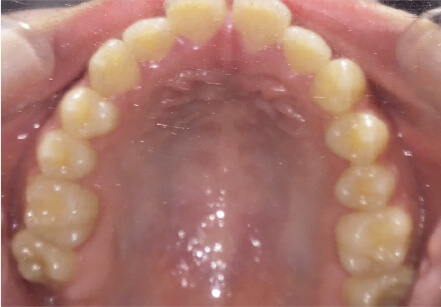
叢生の症例
8歳
/
女性
相談内容
前歯がでている、前歯が噛み合っていない
カウンセリング・診断結果
上下叢生、顎が狭いのでクリアコレクトで拡大配列+トレーニングで進めてく
治療内容・方法
全額アライナー矯正 クリアコレクト
術後の経過・現在の様子
リンガルアーチ使用
治療のリスク
痛み・歯根吸収・歯肉退縮・虫歯・後戻り
費用・治療期間
924,000円、8ヶ月
トレーニングなど
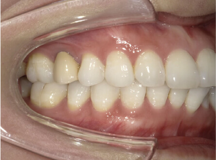
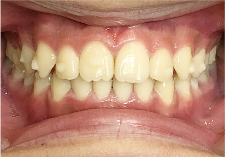
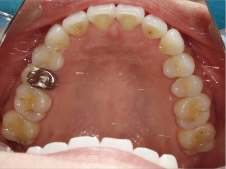
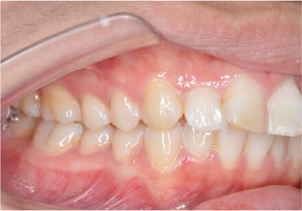
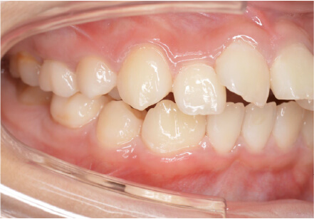
叢生の症例
13歳
/
男性
相談内容
マイオスマイルからの移行
カウンセリング・診断結果
治療内容・方法
全額アライナー矯正
術後の経過・現在の様子
クリアライナー使用
治療のリスク
痛み・歯根吸収・歯肉退縮・虫歯・後戻り
費用・治療期間
(インビザのみ)745,000円、1年11ヶ月
トレーニングなど
叢生の症例
8歳
/
女性
相談内容
口呼吸が気になる。
カウンセリング・診断結果
口呼吸の機能改善メインでやっていく
治療内容・方法
全額アライナー矯正
術後の経過・現在の様子
上下リンガルアーチ使用
治療のリスク
痛み・歯根吸収・歯肉退縮・虫歯・後戻り
費用・治療期間
780,000円、10ヶ月
トレーニングなど
過蓋咬合の症例
15歳
/
女性
相談内容
前歯と前歯が噛んでいない
カウンセリング・診断結果
過蓋咬合
治療内容・方法
全額アライナー矯正
術後の経過・現在の様子
クリアライナー使用
治療のリスク
痛み・歯根吸収・歯肉退縮・虫歯・後戻り
費用・治療期間
830,000円、2年
トレーニングなど
過蓋咬合の症例
6歳
/
男性
相談内容
歯がガタガタ・鼻づまり・口呼吸
カウンセリング・診断結果
治療内容・方法
全顎アライナー矯正・拡大装置
術後の経過・現在の様子
上下リンガルアーチ
治療のリスク
痛み・歯根吸収・歯肉退縮・虫歯・後戻り
費用・治療期間
140,800円、1年6ヶ月
トレーニングなど
叢生の症例
9歳
/
男性
相談内容
ガタガタしているのが気になる
カウンセリング・診断結果
叢生。上3.3スペース不足。耳鼻科紹介
治療内容・方法
全額アライナー矯正
術後の経過・現在の様子
リンガルアーチ使用
治療のリスク
痛み・歯根吸収・歯肉退縮・虫歯・後戻り
費用・治療期間
140,800円、1年1ヶ月
トレーニングなど
叢生の症例
10歳
/
女性
相談内容
スペース不足
カウンセリング・診断結果
myoからの移行。スペース不足のためインビザライン開始。
治療内容・方法
全額アライナー矯正
術後の経過・現在の様子
クリアライナー使用
治療のリスク
痛み・歯根吸収・歯肉退縮・虫歯・後戻り
費用・治療期間
(インビザのみ)385,000円、1年2ヶ月 + myo3年4ヶ月
トレーニングなど
9歳
/
男性
相談内容
下の歯が重なっている。
カウンセリング・診断結果
myoからの移行
治療内容・方法
全額アライナー矯正
術後の経過・現在の様子
上下3〜3fix使用
治療のリスク
痛み・歯根吸収・歯肉退縮・虫歯・後戻り
費用・治療期間
880,000円、1年2ヶ月
トレーニングなど
はる小児歯科・
矯正歯科クリニック
はる歯科クリニック
キッズ専門
HARU’s KITCHEN
はる歯科クリニック
リクルート専用